The Benefits Of Calculus Bridge Removal In 2023


General Dentistry Overview Calculus Bridge Removal
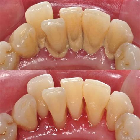
General Dentistry Overview Calculus Bridge Removal from rockvilledentalarts.com

In the year 2023, calculus bridge removal has become an increasingly popular procedure for many people seeking to improve their oral health. This dental procedure is used to remove hardened plaque and tartar buildup from around the teeth, which can cause cavities and other dental issues. Calculus bridge removal is a safe and effective way to improve oral hygiene, and it can also lead to a brighter and whiter smile. Here are some of the benefits of calculus bridge removal in 2023.

Reduced Risk of Cavities

One of the major benefits of calculus bridge removal is that it reduces the risk of cavities. When plaque and tartar buildup around the teeth, the bacteria can cause cavities. This can lead to pain, discomfort, and even tooth loss. By removing the hardened plaque and tartar, calculus bridge removal reduces the risk of cavities and other dental issues.

Improved Oral Hygiene

Another benefit of calculus bridge removal is that it improves overall oral hygiene. When plaque and tartar buildup around the teeth, it can trap bacteria and food particles, making it harder to keep the teeth clean. By removing the hardened plaque and tartar, calculus bridge removal makes it easier to keep the teeth clean and healthy. This can lead to improved oral hygiene.

Brighter and Whiter Smile

A third benefit of calculus bridge removal is that it can lead to a brighter and whiter smile. When plaque and tartar buildup around the teeth, it can cause discoloration and staining. By removing the hardened plaque and tartar, calculus bridge removal can help to brighten and whiten the teeth. This can give the patient a more confident and attractive smile.

Reduced Risk of Gum Disease

A fourth benefit of calculus bridge removal is that it reduces the risk of gum disease. When plaque and tartar buildup around the teeth, it can cause inflammation in the gums. This can lead to gum disease, which is a serious and potentially dangerous condition. By removing the hardened plaque and tartar, calculus bridge removal reduces the risk of gum disease and other dental issues.

Improved Comfort

A fifth benefit of calculus bridge removal is that it can improve comfort. When plaque and tartar buildup around the teeth, it can cause pain and discomfort. By removing the hardened plaque and tartar, calculus bridge removal can help to make the teeth more comfortable. This can improve the patient’s overall quality of life.

Better Overall Oral Health

Finally, calculus bridge removal can lead to better overall oral health. When plaque and tartar buildup around the teeth, it can cause a variety of dental issues. By removing the hardened plaque and tartar, calculus bridge removal can help to improve overall oral health. This can lead to healthier teeth and gums and a better quality of life.

Conclusion

In conclusion, calculus bridge removal is a safe and effective way to improve oral hygiene and reduce the risk of cavities, gum disease, and other dental issues. It can also lead to a brighter and whiter smile. If you’re looking for a way to improve your oral health in 2023, calculus bridge removal may be just what you need. Talk to your dentist today to learn more about this procedure.


Iklan Atas Artikel

Iklan Tengah Artikel 1

Iklan Tengah Artikel 2

Iklan Bawah Artikel